Dental implants have transformed modern dentistry by offering a reliable, long-term solution for missing teeth. One of the key tools that ensures precision and success in implant procedures is the surgical drill guide. Though patients rarely see it, this small device plays a huge role in achieving accurate, safe, and predictable implant placement.
In this complete guide, you’ll learn what a surgical drill guide is, how it works, its benefits, types, and why it’s essential for successful dental implant treatment.
What Is a Surgical Drill Guide?
6
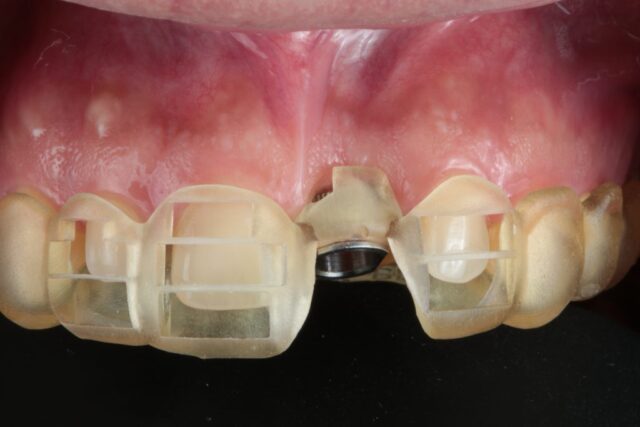
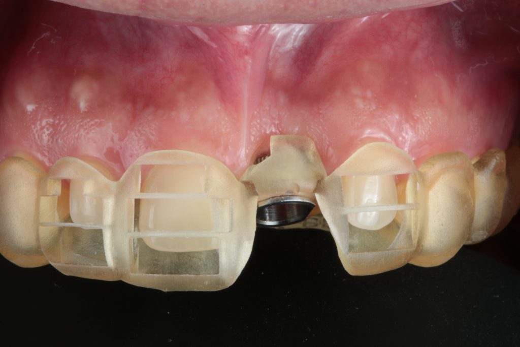
A surgical drill guide (also called a surgical guide or implant guide) is a custom-made device used during dental implant surgery to guide the dentist in placing implants at the exact position, angle, and depth.
It fits over your teeth, gums, or bone and contains precisely positioned holes that direct the drilling process. This ensures that implants are placed exactly where they were planned.
Why Is a Surgical Drill Guide Important?
Placing dental implants requires extreme accuracy. Even a slight deviation can affect the outcome.
Key Reasons It Matters:
- Ensures precise implant positioning
- Protects nearby nerves and structures
- Improves long-term success rates
- Enhances aesthetics and function
A surgical drill guide helps dentists perform implant procedures with confidence and consistency.
How Does a Surgical Drill Guide Work?
6
The process involves advanced digital planning and manufacturing:
Step 1: Digital Scan or CBCT Imaging
The dentist captures a 3D image of your jaw using advanced imaging technology.
Step 2: Implant Planning
Using specialized software, the dentist plans the exact position, angle, and depth of the implant.
Step 3: Guide Design
A digital model of the surgical guide is created based on the treatment plan.
Step 4: Fabrication
The guide is produced—usually via 3D printing—in a dental lab.
Step 5: Guided Surgery
During the procedure, the guide is placed in your mouth to direct the drill accurately.
Types of Surgical Drill Guides
6
There are different types of guides depending on the patient’s condition:
1. Tooth-Supported Guides
- Rest on existing teeth
- Highly stable and accurate
- Common for partially missing teeth
2. Tissue-Supported Guides
- Sit on the gums
- Used for patients without teeth
- Often stabilized with pins
3. Bone-Supported Guides
- Placed directly on the bone
- Used in complex or full-arch cases
Benefits of Using a Surgical Drill Guide
8
1. High Precision
Ensures implants are placed exactly as planned.
2. Minimally Invasive Surgery
Often reduces the need for large incisions or flap surgery.
3. Faster Procedure
Guided placement reduces surgical time.
4. Improved Safety
Protects nerves, sinuses, and surrounding structures.
5. Better Aesthetic Results
Accurate placement leads to natural-looking outcomes.
6. Faster Healing
Less trauma means quicker recovery.
Role of Dental Labs in Surgical Guides
7
Dental labs play a critical role in creating surgical guides:
- Designing guides using CAD software
- Producing guides with 3D printing technology
- Ensuring accuracy and fit
- Collaborating with dentists for precise outcomes
A high-quality lab ensures the guide matches the treatment plan perfectly.
Are Surgical Drill Guides Always Necessary?
While not every implant case requires a guide, they are highly recommended for:
- Complex implant procedures
- Full-mouth restorations
- Cases with limited bone structure
- Situations requiring high aesthetic precision
In modern dentistry, guided implant surgery is becoming the standard of care.
Limitations of Surgical Drill Guides
Although highly beneficial, there are some considerations:
- Additional cost for design and fabrication
- Requires advanced imaging and planning
- Not always necessary for simple cases
However, the increased accuracy and safety often justify the investment.
The Future of Guided Implant Surgery
4
The future of surgical drill guide includes:
- Integration with artificial intelligence
- Real-time navigation systems
- Robotic-assisted implant placement
- Fully digital workflows
These advancements will continue to improve precision and patient outcomes.
Final Thoughts
A surgical drill guide is a small but powerful tool that plays a crucial role in modern dental implant procedures. By ensuring precise placement, improving safety, and enhancing results, it has become an essential part of advanced implant dentistry.
For patients, this means more predictable outcomes, faster recovery, and a better overall experience.









